セラミック治療
セラミック治療とは

虫歯などの治療によって歯が欠けたところに、白い素材であるセラミックの補綴物をセットする治療です。保険診療では銀歯などが使われますが、金属と違い見た目が自然になり、汚れや細菌が付着しにくく虫歯や歯周病のリスクを抑えられる素材です。また、メタルフリーで身体にもやさしい補綴物になります。
医療法人社団ブランパではCAD/CAM装置を導入し、1回の通院で白い歯をセットできる体制を整えています。多忙な方なども通院の負担を抑えて治療を受けられます。
こんな方におすすめです
- 1日で治療を終えたい
- 治療に時間がかかる症例だと思われる
- 遠方から来るので通院回数を減らしたい
- 忙しくなかなか時間が取れない
1日治療をご希望される患者様は、上記のようなお悩みやご希望をおもちです。
歯の色や形が患者様にフィットするように仕上げ、自然で美しい口元にしていきます。
1日で多くの歯をきれいにすることも可能です。まずは話を聞いてみたいという方もお気軽にご相談ください。
※修復物の作製・セットが1日で終わっても、その前後に診療が必要な場合があり、治療後も継続的なメンテナンスを受診いただくことになるので、通院が1回とは限りません。
当クリニックのセラミック治療の特長

お仕事などで忙しい方、歯科治療が苦手な方などがお気軽に通院できるよう、CAD/CAM装置を導入しています。この装置により、1回の通院で白く自然な歯に仕上げることが可能になります。
1本の歯はもちろん、多くの歯の治療にも対応しています。改善したい本数が多いという方も、1日で治療を完了できる可能性があります。
患者様に寄り添ったカウンセリングを心がけています。どうぞ安心してご来院ください。
【1DAYセラミック治療】1回の通院でその日のうちにオーダーメイドの白い歯が完成します!
目立って気になる銀歯、以前から悩んでいる歯の形、黄ばんでしまった歯など、審美的なお悩みをセラミック治療で解消できるかもしれません。当クリニックでは先進的な設備の導入や歯科技工士のより精度の高い技術などによって、1日で白くきれいな歯にすることができます。1回の通院で、患者様のご希望をかなえ適合する歯をセットできます。
- WORRIES 01

気になる前歯の形を改善
- WORRIES 02

銀歯を目立たなくする
- WORRIES 03

変色した歯を白くする
オーダーメイドのセラミック治療が 1日でできる理由
3Dスキャナーで口の中を撮影するだけで
すぐに歯型を取れる
患者様の歯型を取る際は3Dスキャナーで撮影し、データ化した歯型から歯の模型を作ります。従来の印象材を使った歯型取りは、材料が固まるまで時間がかかりましたが、3Dスキャナーは時間をかけずに歯型を取れます。
補綴物の最終的な処理は、経験を積み重ねてきた歯科技工士が行ないます。しっかり適合し、美しさに優れた仕上がりになります。

通常は工場に依頼するセラミック加工が
専用マシンですぐに完成
修復物の作製は、主に院内のCAD/CAM装置で行なっています。この装置は補綴物や人工歯などを設計・製造できるもので、歯科技工所に依頼をしなくても当日中に完成しお口の中にセットできます。仮歯を入れる工程がなく治療を進められるのが、大きなメリットです。材料はジルコニアやe-maxから選択でき、白くきれいな修復物を作ることができます。

当クリニック専属の歯科技工士が
その場で見た目を調整
CAD/CAM装置によって修復物をすぐに作製できますが、機能性や審美性をより高めるために、人の手によって仕上げる必要があります。当クリニックでは専属のセラミスト(歯科技工士)が常駐しています。患者様に直接ご希望などをお伺いし、修復物の形状や色調を反映させて仕上げます。こうした工程により、患者様がご要望される修復物を早く作製できます。

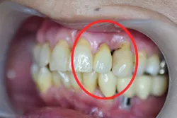
臼歯をセラミックに
「以前に治療した銀歯が気になっていて、思いきり笑えない」という方もいらっしゃるのではないでしょうか。銀歯は目立ってしまうだけでなく、金属アレルギーや歯周病、虫歯の再発など健康面のリスクもあります。銀歯を外して白い歯にすると印象がとても変わり、健康面のメリットもあります。
治療前

治療後(1時間後)

| 主訴・主な症状 | 「以前虫歯を治療したときの銀歯の被せ物が目立つので、目立たない白い歯にしたい」と来院されました。 |
|---|---|
| 診断名 | 1DAYセラミック治療 |
| 治療内容 | 臼歯に入れた金属の被せ物(銀歯)を外し、セラミックの白い歯をセットしました。CAD/CAM装置の使用により、1回の通院で天然歯のような美しい仕上がりになりました。 |
| 治療期間・回数 | 1日・1回 |
| 治療費 | 60,000円 |
| リスク・副作用 | 状態によっては施術できないこともあります。場合によっては数日間腫れや痛みが発生することがあります。 |

臼歯は前歯から数えて4番目以降の歯です
臼歯は、こちらの図で色が塗られている歯になります。一般的に「奥歯」と言われるような部分です。食事のときに食べ物をすり潰して、消化しやすくする役割があります。また、8番目となる最奥の歯は親知らずになります。


臼歯1歯の銀歯を
1時間でオールセラミックに銀歯を外して白い歯にすることで、口元に自信が持てます。
このような方におすすめです
・銀歯が目立って悩んでいる
・毎日忙しいため、なるべく少ない通院で治療したい
・治療にかかる費用をできるだけ抑えたい
臼歯3本のブリッジを
2時間でオールセラミックに金属のブリッジを2時間ほどの治療でオールセラミックにし、自然な口元へ。
このような方におすすめです
銀歯のブリッジがあり口元が目立っている
※ブリッジは強い負荷がかかるため、セラミックのなかでも強度が高いe-maxというものを加工します。
前歯をセラミックに
前歯はとくに目立つ歯なので視線を感じやすく、色や形が悪いとコンプレックスを感じる方もいると思います。当クリニックでは1回だけの通院で前歯を白いセラミックにし、口元に自信をもたらします。
治療前

治療後(1時間後)

| 主訴・主な症状 | 「前歯の色と形が悪く、人と話すときに気になってストレスを感じるので、見た目をきれいにしたい」と来院されました。 |
|---|---|
| 診断名 | 1DAYセラミック治療 |
| 治療内容 | 色や形が悪い前歯にセラミック加工を施し、白い歯へと改善しました。CAD/CAM装置の使用により、1回の通院で見た目が気にならない自然な仕上がりになりました。 |
| 治療期間・回数 | 1日・1回 |
| 治療費 | 96,0000円 |
| リスク・副作用 | 状態によっては施術できないこともあります。場合によっては数日間腫れや痛みが発生することがあります。 |

前歯から数えて3番目までの歯が対象になります
こちらの図で色がついているのが前歯になります。中心から数えて3番目までとなり、会話をしているときにも見えやすくなります。汚れや着色がない自然な白さを演出することで、印象が変わります。


前歯1歯を1時間で
オールセラミックに特に目立ちやすい前歯を1時間の治療でオールセラミックにします。何度も通って時間をかけることなく、その日に白い歯になって帰ることができるので、すぐに自信を持てる口元になります。
このような方におすすめです
・前歯の着色や形などが気になっている
・忙しいので時間をかけずに治療したい
・できるだけ費用を抑えたい
セラミストのひと手間で、
2時間で自然な前歯にセラミックの加工を専門的に行なう歯科技工士(セラミスト)が、セラミックを再度焼く「焼成」を行なってより美しく仕上げます。所要時間は2時間ほどになりますが、自然なセラミックの歯を手に入れられます。
このような方におすすめです
・目立ちやすい前歯の色や形が気になっている
・良質で見た目が美しい歯にしたい
・時間にある程度の余裕がある
初診カウンセリングの流れ
Step

問診票のご記入
問診票をご記入いただく時間を設けるので、ご予約された時間の15分ほど前にご来院ください。ご記入いただいた問診票をもとにカウンセリングを行ないます。
Step

カウンセリング
患者様の現在のお悩みなどをお伺いします。想定する治療方法などについて、わかりやすく説明します。カウンセリングはしっかり時間を取って丁寧に行ないますので、ご安心ください。
Step

レントゲンなどの検査
カウンセリング後は、基本的な検査をします。レントゲン撮影のほかに、虫歯や歯周病の確認、歯並びや噛み合わせのチェックなどを行なって、総合的に診断します。診断結果をもとに治療計画を作成します。
Step

治療内容のご説明・
費用のお見積もり患者様に検査結果をお伝えし、さらに治療計画についても詳しくお話しします。治療内容のほかに治療期間、価格もご提示します。不明点やご要望がありましたら、どのようなことでもおたずねください。
Step

治療のご検討
治療内容やお見積もりなどの説明をもとに、治療を受けられるかどうかお考えいただきます。ご質問などがあればお聞かせください。治療を受ける場合は、次回の診療のご予約に移ります。
無料相談について
初診相談は無料で行なっているので、お気軽にご来院ください。
初診相談を無料で受けられます。
患者様のお悩みをしっかりお聞きし、ご要望などについてもお話しいただきます。カウンセリングには充分な時間を取っており、患者様の不安を解消できるように丁寧にお話しをします。カウンセリング後のレントゲン撮影などの検査、診療シミュレーション、お見積もりは無料となります。初診を受けるのを躊躇されている方も、ぜひお気軽にご相談ください。

よくある質問
- セラミックと保険診療の白いレジンの違いについて教えてください。
どちらも白い素材ですが、レジン(プラスチック)は吸水性が高いため変色しやすく、時間の経過によって徐々に着色してきます。
レジンとセラミックを混合したハイブリッドセラミックという補綴物も、レジンのみに比べれば審美性が高いものの、セラミックのみに比べると色の美しさで劣ります。
- 以前にメタルセラミッククラウンの治療をしたのですが、根元が黒くなってしまいました。
メタルセラミッククラウンは内部が金属製になっており、それが見えてしまっているのではないかと思います。この補綴物は表面をセラミックで加工しているので白く見えますが、芯はあくまで金属です。歯肉が痩せるなどして下がってくると、金属が露出して黒く見えてしまいます。オールセラミッククラウンやジルコニアクラウンといった補綴物であれば、歯肉が下がったとしても黒く見えることはありません。
- セラミックの歯を使用できる期間はどれくらいですか?また、白さはどれくらい保てますか?
原則的には、いつまでも使えることを目指して治療をしています。ただし、歯ぎしりや食いしばりといった習慣により、セラミックがダメージを受ける可能性があります。メンテナンスを受けてセラミックの状態をチェックすることが大切です。また、メンテナンスは虫歯や歯周病の再発を防ぐことにもつながります。変色についても、メンテナンスを受けていればほとんど起こりません。
リスク・副作用
審美治療・セラミック治療にともなう一般的なリスク・副作用
- 審美治療としてセラミック治療を行なう場合、自費(保険適用外)での診療となり、保険診療よりも高額になります。
- 事前に根管治療(神経の処置)やコア(土台)の処置が必要となることがあります。
- 治療では歯を削ることがあります。また、知覚過敏を発症することがあります。
- 抜髄(神経の処置)や抜歯が必要になることがあります。
- 抜歯や外科処置をともなう場合、出血や腫脹(しゅちょう)を生じることがあります。
- 治療で歯肉を移植する場合、二次的な出血・疼痛・腫脹(しゅちょう)が見られることがあります。
- 治療後、自発痛、咬合痛、冷温水痛を生じることがあります。
- 歯ぎしり・食いしばりなどの癖や噛み合わせによっては、補綴物が破損することがあります。
- セラミック製の補綴物は、金属製の補綴物よりも歯を削る量が多くなることがあります。
- 噛み合わせ・歯ぎしりの強い方は、セラミックの破損を防止するため、マウスピースをおすすめすることがあります。
CAD/CAM装置を用いた治療にともなう一般的なリスク・副作用
- ソフトウェアを利用して歯科修復物のCAD(コンピューター支援設計)またはCAM(コンピューター支援製造)を行ないます。
- この機器を使用して行なう修復物の作製は自費診療(保険適用外)となることがあります。その場合は、保険診療よりも高額になります。
- 患者さまの症状によっては、この機器での治療を適用できないことがあります。
- お口の中にスキャナーが入るため、ごくまれに多少の不快感を覚えることがあります。
- 補綴物の作製・セットが1日で終わっても、その前後に診療が必要な場合があり、治療後も継続的なメンテナンスを受診いただくことになるので、通院が1回とは限りません。
GROUP
ブランパデンタルクリニックグループ

ブランパ大宮
デンタルクリニック電話番号 048-729-8114 住所 〒330-0802
埼玉県さいたま市大宮区宮町2-24 Kビル4F診療時間 平日土日祝日 11:00 - 19:00 休診日 水曜 休診 
ブランパ梅田
デンタルクリニック電話番号 06-6485-8899 住所 〒530-0002
大阪府大阪市北区曾根崎新地2-6-11 A&SビルB1F診療時間 11:00 - 19:00 休診日 月曜のみ診療













